
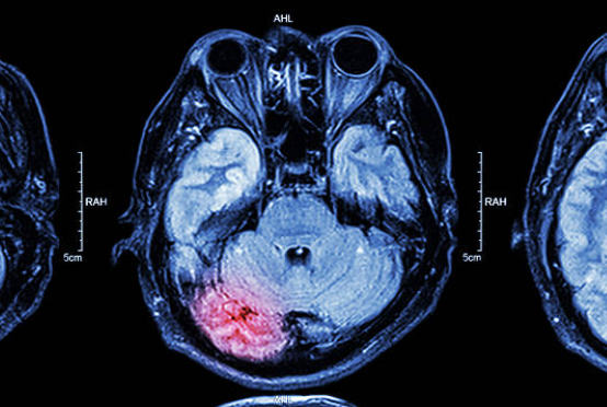
뇌출혈은 뇌혈관이 파열되어 발생하는 심각한 질환으로, 조기 발견과 치료가 매우 중요합니다. 뇌출혈의 전조증상을 인지하는 것은 생명을 구하는 데 큰 도움이 될 수 있습니다. 본 글에서는 뇌출혈의 전조증상, 원인, 예방 방법에 대해 자세히 알아보겠습니다.



뇌출혈의 전조증상 5가지
뇌출혈은 갑작스럽게 발생하는 경우가 많지만, 몇 가지 전조증상이 나타날 수 있습니다. 이러한 증상들은 뇌출혈이 발생하기 전에 신체가 보내는 경고 신호로 이해할 수 있습니다. 주요 전조증상은 다음과 같습니다.
- 심한 두통: 뇌출혈의 가장 흔한 전조증상 중 하나로, 갑작스럽고 극심한 두통이 발생할 수 있습니다. 이는 '천둥 같은 두통'이라고도 불리며, 평소 경험하지 못한 강한 통증이 특징입니다.
- 어지러움: 갑작스러운 어지러움이나 균형 감각의 상실이 나타날 수 있습니다. 이는 뇌의 혈류가 원활하지 않음을 나타내는 신호일 수 있습니다.
- 시각 변화: 시야가 흐려지거나 이중으로 보이는 증상이 발생할 수 있습니다. 이러한 변화는 뇌의 특정 부위에 문제가 생겼음을 나타냅니다.
- 언어 장애: 말을 하거나 이해하는 데 어려움을 겪는 경우가 있습니다. 이는 뇌의 언어 중추에 영향을 미치는 신호일 수 있습니다.
- 마비 증상: 신체의 한쪽이 마비되거나 힘이 빠지는 증상이 나타날 수 있습니다. 이는 뇌의 특정 부위가 손상되었음을 나타냅니다.
뇌출혈의 원인
뇌출혈의 원인은 다양하지만, 주로 고혈압, 혈관 질환, 외상 등이 있습니다. 특히 고혈압은 뇌출혈의 가장 큰 위험 요소로 알려져 있습니다. 고혈압이 지속되면 혈관이 약해지고, 이로 인해 출혈이 발생할 수 있습니다. 그 외에도 다음과 같은 원인이 있습니다.
- 혈관 질환: 뇌동맥류나 뇌동정맥 기형과 같은 혈관 질환이 뇌출혈을 유발할 수 있습니다.
- 외상: 교통사고나 낙상 등 외부 충격으로 인해 뇌출혈이 발생할 수 있습니다.
- 혈액 질환: 백혈병이나 재생불량성 빈혈과 같은 혈액 질환도 뇌출혈의 원인이 될 수 있습니다.
뇌출혈 예방 방법
뇌출혈을 예방하기 위해서는 건강한 생활 습관을 유지하는 것이 중요합니다. 다음은 뇌출혈 예방을 위한 몇 가지 방법입니다.
정기적인 건강 검진의 중요성
뇌출혈을 예방하기 위해서는 정기적인 건강 검진이 필수적입니다. 다음과 같은 검진 항목을 포함해야 합니다:
- 혈압 측정: 고혈압은 뇌출혈의 주요 원인 중 하나입니다. 정기적으로 혈압을 측정하고, 필요시 의사와 상담하여 적절한 치료를 받는 것이 중요합니다.
- 혈당 검사: 당뇨병은 뇌혈관 질환의 위험을 증가시킵니다. 혈당 수치를 정기적으로 확인하고, 관리하는 것이 필요합니다.
- 콜레스테롤 검사: 높은 콜레스테롤 수치는 심혈관 질환의 위험을 높입니다. 정기적으로 콜레스테롤 수치를 체크하고, 식습관을 개선해야 합니다.
건강한 생활 습관
건강한 생활 습관은 뇌출혈 예방에 큰 도움이 됩니다. 다음은 실천할 수 있는 몇 가지 방법입니다.
- 금연: 담배는 혈관을 수축시키고 혈압을 높이는 원인이 됩니다. 금연은 뇌출혈 예방에 매우 중요합니다.
- 적절한 음주: 과도한 음주는 혈압을 높이고, 뇌출혈의 위험을 증가시킵니다. 음주를 줄이거나 적당히 하는 것이 좋습니다.
- 규칙적인 운동: 운동은 혈압을 낮추고 전반적인 건강을 개선하는 데 도움이 됩니다. 주 150분 이상의 유산소 운동을 권장합니다.
- 균형 잡힌 식사: 과일, 채소, 통곡물, 저지방 단백질을 포함한 균형 잡힌 식사를 통해 건강한 체중을 유지하는 것이 중요합니다.
스트레스 관리
스트레스는 혈압을 높이고, 심혈관 질환의 위험을 증가시킬 수 있습니다. 스트레스를 효과적으로 관리하는 방법은 다음과 같습니다.
- 명상과 요가: 명상이나 요가는 스트레스를 줄이고 마음의 안정을 찾는 데 도움이 됩니다.
- 취미 활동: 자신이 좋아하는 취미를 통해 스트레스를 해소하는 것도 좋은 방법입니다.
- 사회적 관계 유지: 친구나 가족과의 소통은 정서적 지지를 제공하여 스트레스를 줄이는 데 도움이 됩니다.
마치며...
뇌출혈은 심각한 질환으로, 전조증상을 인지하고 조기에 대처하는 것이 생명을 구하는 데 큰 도움이 됩니다. 위에서 언급한 전조증상과 예방 방법을 잘 숙지하여 건강한 삶을 유지하는 것이 중요합니다. 만약 위의 증상이 나타난다면 즉시 의료기관을 방문하여 전문적인 진단과 치료를 받는 것이 필요합니다. 건강은 무엇보다 소중하므로, 자신의 몸 상태에 항상 관심을 기울여야 합니다.



같이 보면 좋은 글
녹내장 초기증상 알아두자
눈은 우리의 소중한 감각기관으로, 일상생활에서 매우 중요한 역할을 합니다. 그러나 많은 사람들이 눈 건강에 소홀히 하곤 합니다. 특히 녹내장은 초기 증상이 미미하여 조기 발견이 어려운 질
cocon3.tistory.com
심장마비 전조증상 알아두세요
심장마비는 전 세계적으로 많은 사람들의 생명을 위협하는 심각한 질환입니다. 심장마비가 발생하기 전에 나타나는 전조증상을 인지하는 것은 조기 발견과 예방에 매우 중요합니다. 본 글에서
cocon3.tistory.com
심근경색 초기증상 알아보기
심근경색은 심장에 혈액을 공급하는 관상동맥이 막히면서 발생하는 심각한 질환입니다. 이 질환은 조기 발견과 치료가 매우 중요하며, 초기 증상을 인지하는 것이 생명을 구하는 열쇠가 될 수
cocon3.tistory.com
'라미' 카테고리의 다른 글
| 대상포진 치료방법 알아보기 (2) | 2024.10.10 |
|---|---|
| 입맛이 쓴 원인 알아보기 (2) | 2024.10.08 |
| 녹내장 초기증상 알아두자 (0) | 2024.10.05 |
| 비문증 치료방법 알아보기 (1) | 2024.10.05 |
| 아플때 위로 문자 모음집 (0) | 2024.10.03 |